Karis: Karis
Description
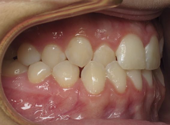
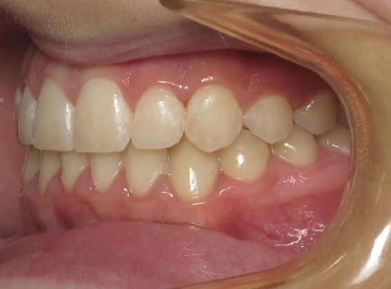
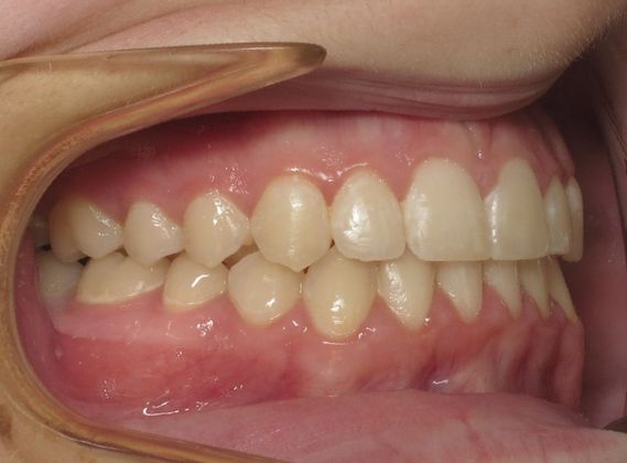
Crowded teeth with crossbite and high canines corrected through braces
Crowded teeth with crossbite and high canines corrected through braces
David Spokane and Melissa Karski are committed to providing the very best orthodontic and dental care to valued patients throughout the state of Pennsylvania. We are affiliated we several prestigious organizations, including the:
You can schedule an appointment at one of our six convenient office locations today by calling (724) 591-5758 or sending us a message. We will get back to you shortly.
"Highly satisfied with my child's ortho procedure. The entire process has been seamless even with the pandemic. The website and patient portal is user friendly, but should you need to call the office for any reason, a staff member always answers in a friendly manner. The Ambridge office is stunning, it's like waking into a super hero museum. Everybody's favorite super hero can be found. Dr. Spokane has a great chair side manner, upbeat and friendly. My child was nervous at first but his fear quickly went away with the super comfortable atmosphere. I recommend Dr. Spokane to all my friends and family."Cymone Bronaugh
